Skolyoz (Omurga Eğriliği) Nedir ?
Skolyoz, omurganın arkadan bakıldığında normalde düz bir hatta yerleşmesi gerekirken böyle olmayıp sağa veya sola doğru 10 dereceden daha fazla eğriliği olarak tanımlanır. Skolyoz tek boyutlu bir deformasyon değildir.
Skolyoz (Omurga Eğriliği) Belirtileri Nelerdir ?

Bazen bir omuzun diğerinden yüksek olması, bazen beldeki gamzelerin iki tarafta eşit olmaması ile, bazen kürek kemiklerinden seviyelerinin farklı olması, bazen de öne eğilince sırtta bir tarafın diğerinden daha yüksek durması ile kendini gösterebilir. Bu belirtiler aileleri doktora yönlendirir ve hastalar bu sebeple erken teşhis alabilmektedir. Erken teşhis hastaların uzun dönemde yaşam kalitesi üzerindeki olumsuz etkilerini azaltabilir.
İdiyopatik Skolyoz Nedir ?
En sık görülen skolyoz türüdür. Sebebi tam olarak bilinmeyen omurga eğriliğine verilen isimdir. Omurgada yana doğru eğilme ‘S’ veya ‘C’ şekilli olabilir. Etyolojisinde genetik ve çevresel faktörler üzerinde durulmaktadır. Ergenlik döneminde kız çocuklarında erkeklere göre 6-8 kat daha sık görülür.
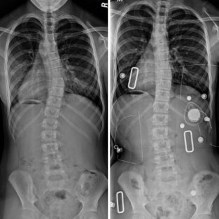
Skolyoz Tanısı Nasıl Konur ?

Hekim tarafından ayrıntılı öykü alındıktan ve muayene edildikten sonra görüntüleme yöntemlerine başvurulur. Çoğunlukla kesin tanı için ayakta çekilen röntgenler yeterlidir. Bazen altta yatan nedeni bulmak için MR gibi görüntüleme yöntemleri de istenebilir. Skolyozda erken tanı çok önemlidir. Bu nedenle büyüme çağındaki 9-16 yaş arasındaki çocuklarının omurgaları aileler tarafından kontrol edilmeli ve şüpheli durum varsa bir fiziksel tıp ve rehabilitasyon hekime başvurulmalıdır.
Skolyoz Egzersizleri Nelerdir ?
Rehabilitasyon programı mutlaka uzman hekim ile birlikte , SEAS ve/veya Schroth tekniğini bilen ve spesifik egzersiz uygulamalarına hakim olan terapistlerle birlikte gerçekleştirilmelidir. Kişiye özel egzersiz proğramı yapılırken omurga eğriliğinin yönü, açısı ve mevcut tedavi evresi göz önünde bulundurulur. SEAS / Schroth metodu ile omurga eğriliğinin düzeltilebilmesi için belirli egzersizlerin kişisel plan doğrultusunda, düzenli aralıklarla tekrarlanması gerekir. Burada hastanın tedaviye aktif katılımı ve ev ödevlerini harfiyen uygulaması tedavi başarısında kilit rol oynamaktadır.
Skolyozda Korse Ne Zaman Takılır ?

Skolyozda eğrilik derecesi 20 – 40 derece arasında olan hastalar özellikle gelişim döneminde ise korse tedavisine başlanır. Düşük dereceli hastaların takiplerinde açıları artıyor ise yine korse planlaması yapılır. Korse tedavisi uygulanan hastaların cerrahi tedavi gerektiren derece olan 40 derece ve üzeri eğriliğe ulaşma riski korse tedavisi uygulanmayan hastalara göre çok daha düşüktür.
Ameliyat Ne Zaman Yapılır ?
Ameliyat dışı tedavi yöntemlerin ( egzersiz, korse vs. ) başarısız olduğu ve Cobb açısı 40 derece üzerinde ise cerrahi tedavi uygulanır.